Skip to content
Question #137 (11/28/2025)
National Association of Medical Examiners
Educational Activities Committee
Submitted by Dr. Ilaria Tarozzi (PGY-1 Anatomic and Clinical pathology resident), and Dr. Michael Punsoni MD, PhD (Neuropathologist, Director of Autopsy Service, Director of Ophthalmic Pathology) from Brown University, Providence (RI)
1.
A 22-month-old female, dichorionic, diamniotic, preterm (33 w) twin, was found dead 15 minutes after being placed down post feeding.
She had a history of plagiocephaly, cleft soft palate, mild fine and gross motor delays, truncal hypotonia, severe obstructive sleep apnea, bilateral middle ear dysfunction, gastroesophageal reflux and a hemodynamically nonsignificant atrial septal defect (ostium secundum), for which she underwent extensive genetic study with no conclusive results.
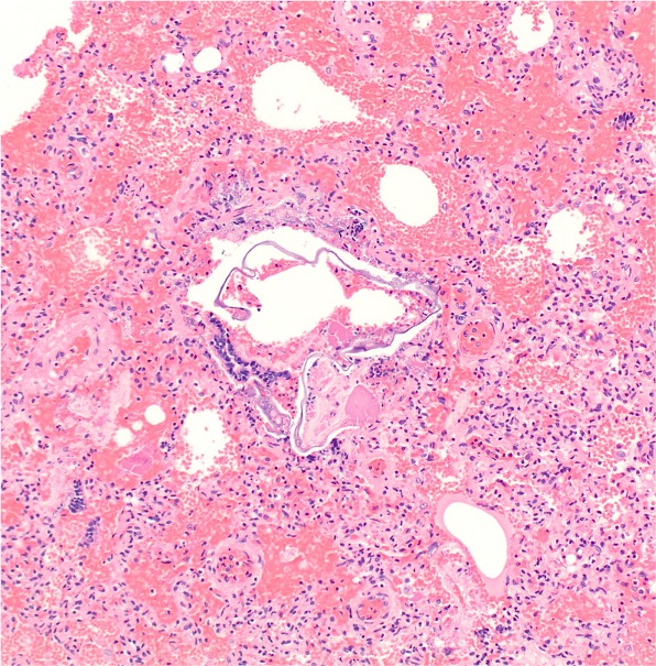
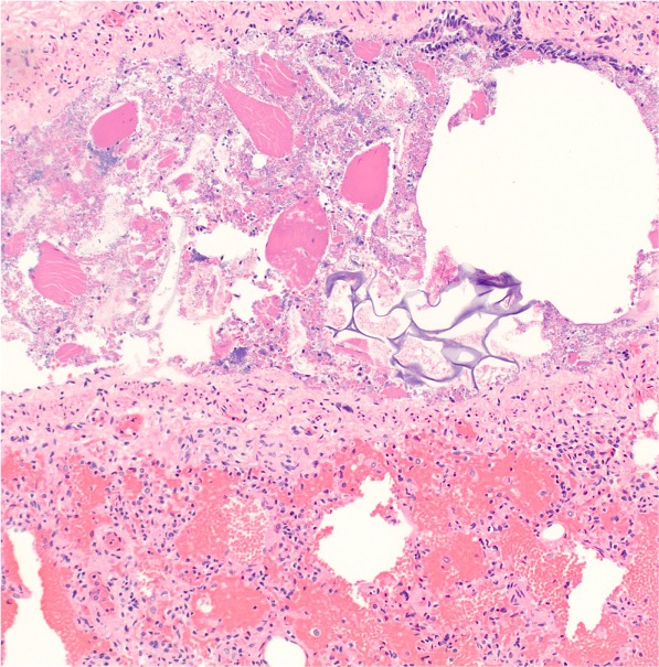
Postmortem examination showed organs all below normal weight for age, thymus with stress involution, and stage 2 hepatic fibrosis.
Based on the microscopic images (H&E - 100X), which relevant information has likely been omitted in the case presentation?
She underwent a kidney biopsy showing linear deposits of IgG under direct immunofluorescence
She was brought to Emergency Department one month earlier for a rash on the lower extremities
She was followed by a speech therapist and had a gastric tube
A cardiac catheterization procedure was performed with detection of pulmonary arterial hypertension