Screen Reader Mode Icon

Please complete the pretest below.

Question Title

* 1. In a non-compliant system, a small change in volume results in:

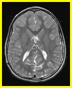
Question Title

* 2. Which patient has the higher ICP?

Question Title

* 3. Which intervention is least likely to lower ICP?

Question Title

* 4. A ventilated patient with SAH and an EVD in place experiences a sudden rise in ICP from 15 to 25mmHg. Which is not a reasonable explanation?

0 of 4 answered
 

T