Skip to content
Question #138 (12/12/2025)
National Association of Medical Examiners
Educational Activities Committee
Submitted by Gladys Vargas (MS4, St. George's University School of Medicine) and Dr. Debra Berry (Deputy Medical Examiner, San Diego County Medical Examiner's Office).
1.
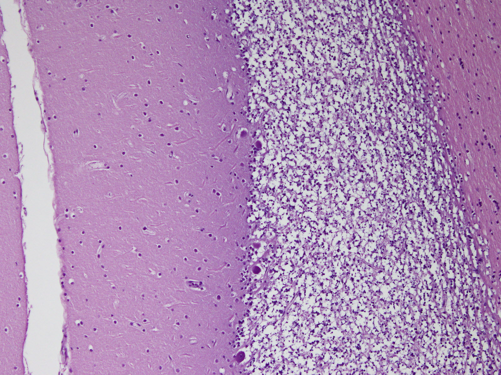
The decedent was a 32-year-old male found deceased in his shared residence. Roommates reported that he had been intermittently vomiting for the previous 24 hours.
Which of the following most accurately characterizes the appearance of the cerebellum in the gross and histologic images shown?
Ischemic infarct from a superior cerebellar artery occlusion
Postmortem freezing (cryofixation)
An infectious process causing liquefactive necrosis
Autolysis due to a delay in fixation