Skip to content
Question #142 (2/20/2026)
National Association of Medical Examiners
Educational Activities Committee
Submitted by Dr. Casey Schukow (Co-Chief Resident Pathologist, PGY-3, Corewell Health William Beaumont University Hospital (Royal Oak, Michigan).) and Dr. Kausar Jabbar (Faculty Pathologist, Corewell Health William Beaumont University Hospital (Royal Oak, Michigan).
1.
The decedent was a 40‑50 year‑old male with multiple hospital admissions over several weeks for shortness of breath and atypical pneumonia, treated with antibiotic therapy. On his terminal admission, several months after the initial visit, his hospital course was complicated by hypoxic respiratory failure requiring intubation and admission to the intensive care unit for hypoxic respiratory failure. His stay was complicated by lower GI bleeds and ulcers (status post embolization), severe cardiac dysfunction, and tracheostomy. Ultimately, he was placed on veno-venous extracorporeal membrane oxygen (VV-ECMO) due to refractory respiratory failure and remained on VV-ECMO for about 3 months prior to death.
Notable labs prior to his death are as follows...
• Blood Cultures: Vancomycin-Resistant Enterococcus (VRE) positive
• C-Reactive Protein (CRP): 130.7 mg/dL (normal <8.0)
• Total Bilirubin: 21.8 mg/dL (normal 0.3-1.2)
• AST: 105 U/L (normal <35)
• ALT: 70 U/L (normal 9-47)
• Alkaline Phosphatase (ALP): 98 U/L (normal 33-120)
• Antinuclear Antibody (ANA): Negative
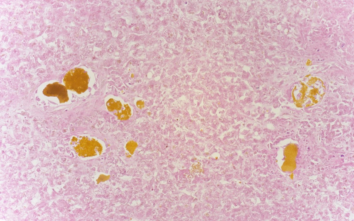
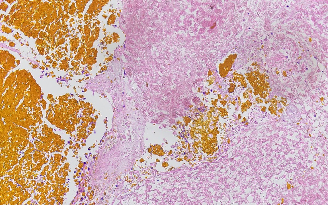
Autopsy was remarkable for scleral icterus, anasarca, and jaundice. Grossly the liver was golden-brown and weighed 2525 grams (normal 1000-1800) with numerous intraductal lesions present throughout the cut surface (cross section shown, black arrows). Histology of the liver was remarkable for acellular golden-yellow pigmented material throughout the large and small duct system with flattened biliary epithelium and marked background liver necrosis (images shown). No significant inflammation, fibrosis, passive congestion, hepatocyte ballooning/degeneration, or definitive eosinophilic cytoplasmic inclusions were identified.
What is the most likely etiology of these liver findings?
Alcohol
Autoimmune
Sepsis
Sudden acute ischemia